world affairs | March 17, 2026

How to diagnose cardiomegaly on chest x ray?


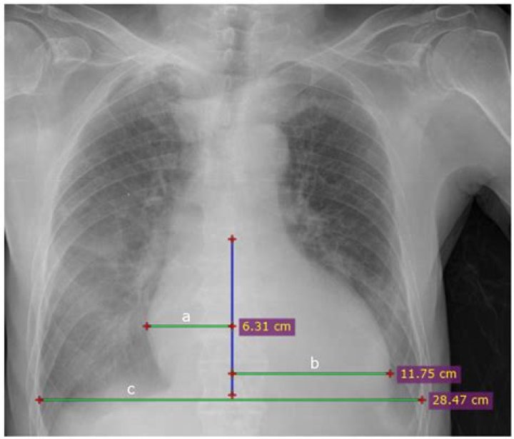
Transverse cardiac diameters of 15.5cm for males and 14.5cm for females are considered as the normal upper limits respectively; An increase in the transverse cardiac diameter by 1.5cm on two consecutive chest radiographs taken at short intervals is considered abnormal, and a sign of cardiomegaly.

How is cardiomegaly diagnosed?

Diagnosis
  1. Chest X-ray. X-ray images help your doctor see the condition of your lungs and heart. ...
  2. Electrocardiogram. ...
  3. Echocardiogram. ...
  4. Stress test. ...
  5. Cardiac computerized tomography (CT) or magnetic resonance imaging (MRI). ...
  6. Blood tests. ...
  7. Cardiac catheterization and biopsy.

Does chest X-ray show heart size?

The x-rays show the shape and size of the heart and the outline of the large blood vessels in the lungs and chest. Abnormal heart shape or size and abnormalities, such as calcium deposits within blood vessels, are readily seen.

What is a CXR scan?

Chest X-ray is an imaging procedure that uses a very small amount of radiation, which quickly goes through your body in order to capture an internal image of your chest. A chest X-ray helps to indicate abnormal formations or a large variety of chest diseases such as pneumonia, cystic fibrosis, emphysema, cancer, etc.

What is CXR test?

CXR Test / Digital X-Ray Chest is an imaging test that produces pictures of the Chest. It helps spot any abnormalities in the chest. Digital X-Ray uses a small dose of ionizing radiation and is not to be performed during pregnancy. Chest X-ray is also referred to as a chest radiograph, chest roentgenogram, or CXR.

Chest x-ray -Cardiothoracic Ratio -CARDIAC SIZE - Cardiomegaly

34 related questions found

Can ECG detect enlarged heart?

An ECG (electrocardiogram) records the electrical activity of your heart at rest. It provides information about your heart rate and rhythm, and shows if there is enlargement of the heart due to high blood pressure (hypertension) or evidence of a previous heart attack (myocardial infarction).

What is the difference between cardiomyopathy and cardiomegaly?

Dilated cardiomyopathy is the most common type of cardiomegaly. In this condition, the walls of the left and/or right ventricles of the heart become thin and stretched. The result is an enlarged heart. In the other types of cardiomegaly, the heart's large muscular left ventricle becomes abnormally thick.

Is cardiomegaly a cardiomyopathy?

The two main types of cardiomegaly affecting the left ventricle are both referred to as cardiomyopathies. It's either a dilated type cardiomyopathy, with or without a reduced left ventricular function, or a hypertrophic type of cardiomyopathy, with or without a reduced left ventricular function.

What is marked cardiomegaly?

Overview. Cardiomegaly means an enlarged heart. Mild cardiomegaly refers to less severe forms. This is a sign of another heart-related condition. You may not know you have an enlarged heart unless you undergo imaging tests or have symptoms of the underlying condition.

Does cardiomegaly cause chest pain?

Symptoms of cardiomegaly depend on the cause. Sometimes, cardiomegaly may not cause symptoms. In other cases it can cause signs and symptoms like edema (water retention) with weight gain, arrhythmia, palpitations, tiredness, fatigue, shortness of breath, and chest pain.

Can pneumonia cause cardiomegaly?

“An acute infection like pneumonia increases the stress on the heart and can lead to a cardiac event like heart failure, heart attack or arrhythmias,” said Weston Harkness, DO, a cardiology fellow at Samaritan Cardiology - Corvallis.

Can you reverse an enlarged heart?

“It depends on the etiology,” or origin of the problem. With certain conditions, such as congestive heart failure, complete reversal of the enlargement of the heart may not be possible. But with other conditions, such as pregnancy or a treatable infection, a complete reversal of the condition may be possible.

What are the symptoms of atheromatous aorta?

What are the symptoms of atherosclerosis?
  • chest pain or angina.
  • pain in your leg, arm, and anywhere else that has a blocked artery.
  • cramping in the buttocks while walking.
  • shortness of breath.
  • fatigue.
  • confusion, which occurs if the blockage affects circulation to your brain.

What are the 4 stages of heart failure?

There are four stages of heart failure - stage A, B, C and D - which range from high risk of developing heart failure to advanced heart failure.

Is EKG and echocardiogram the same?

an echocardiogram. Although they both monitor the heart, EKGs and echocardiograms are two different tests. An EKG looks for abnormalities in the heart's electrical impulses using electrodes. An echocardiogram looks for irregularities in the heart's structure using an ultrasound.

What causes cardiomegaly?

Cardiomegaly can be caused by many conditions, including hypertension, coronary artery disease, infections, inherited disorders, and cardiomyopathies. Dilative cardiomyopathy: This type is characterized by a wide, poorly functioning left ventricle, which is the heart's primary pumping chamber.

Is there a difference between ECG and EKG?

There is no difference between an ECG and an EKG. Both refer to the same procedure, however one is in English (electrocardiogram – ECG) and the other is based on the German spelling (elektrokardiogramm – EKG).

What 3 foods cardiologists say to avoid?

Here are eight of the items on their lists:
  • Bacon, sausage and other processed meats. Hayes, who has a family history of coronary disease, is a vegetarian. ...
  • Potato chips and other processed, packaged snacks. ...
  • Dessert. ...
  • Too much protein. ...
  • Fast food. ...
  • Energy drinks. ...
  • Added salt. ...
  • Coconut oil.

What is atheromatous thoracic aorta?

Atherosclerotic lesions of the thoracic aorta have recently been recognized as an important cause of stroke and peripheral embolization, which may result in severe neurologic damage as well as multiorgan failure and death. Their prevalence is ∼27% in patients with previous embolic events.

What is atherosclerotic aorta?

Having atherosclerosis (say "ath-uh-roh-skluh-ROH-sis") of the aorta means that a material called plaque (fat and calcium) has built up in the inside wall of a large blood vessel called the aorta. This plaque buildup is sometimes called "hardening of the arteries."

How long can you live with cardiomegaly?

According to the Centers for Disease Control and Prevention (CDC), around one-half of all people diagnosed with congestive heart failure will survive beyond five years.

Can you exercise with enlarged heart?

Moderate exercise can be very beneficial for elderly patients with enlarged hearts. As expected based on previous studies, the medication was about twice as effective in lowering systolic blood pressure — the top number in a blood pressure reading.

What is the most common cause of enlarged heart?

Any disease that makes your heart work harder to pump blood through your body can cause an enlarged heart. Just as the muscles of your arms and legs get bigger when you work them, your heart gets bigger when you work it. The most common causes of an enlarged heart are ischemic heart disease and high blood pressure.

How is arrhythmias diagnosed?

The most common test used to diagnose an arrhythmia is an electrocardiogram (EKG or ECG). Your doctor will run other tests as needed. She or he may recommend medicines, placement of a device that can correct an irregular heartbeat, or surgery to repair nerves that are overstimulating the heart.

Which of the following blood tests is most indicative of cardiac damage?

A troponin test measures the levels of troponin T or troponin I proteins in the blood. These proteins are released when the heart muscle has been damaged, such as occurs with a heart attack. The more damage there is to the heart, the greater the amount of troponin T and I there will be in the blood.